Teeth Whitening

Knowing When to Whiten

Professional teeth whitening in Bellflower is handled best when you know the time to do it

When you are first considering treatment for dental bleaching, your whitening treatments can be done at any time. However, if you plan on getting teeth bleaching treatments done periodically, there is a time frame you should stick to in order to keep your teeth and their enamel strong and healthy. At Bellflower Dental Group, we recommend waiting six months after a professional whitening treatment is complete before getting another. Bleaching your teeth can add sensitivity you may not want if done too often, and it can also cause damage. If you are only seeing darker spots on a tooth or a few teeth, there are spot treatments available, which help when considering damage to other teeth that may not need treatment. If you are really concerned with the yellowing appearance of your teeth once they are whitened, staying away from foods, beverages, and other items such as tobacco that have a coloring effect on your teeth is a good idea. Schedule an appointment for your professional teeth whitening in Bellflower today, and start feeling more confident in your smile.

Dental Bleaching: Choosing a Solution For You

Professional teeth whitening in Bellflower might be the best option for your bleaching efforts

When you are considering dental bleaching, there are three routes you can take, two of which are professional whitening products that are proven safe and effective. The first is in-office bleaching, which uses a higher concentration of chemicals to aid in faster results. The best part about this option is that it is affordable and under the care of a dental professional. Next, also a professional teeth whitening option, are take-home whitening trays. At our office in Bellflower, we offer take-home trays, which are custom-made and molded to fit your teeth. These trays are then sent home with you, along with a powerful whitening agent. At-home whitening trays are very affordable, and they are also convenient. These trays allow you to whiten when you like until you reach your desired color. The only drawback when compared to in-office bleaching is the lack of instant results. Results with trays will appear over a span of time. Lastly, you have over-the-counter products to use for your whitening needs. When it comes to these types of products, there are many on the market, and some are not as safe as others. We advise you to consult with a dental professional about the use of store-bought whitening products, and also to see if this is a good idea to use on your teeth. If you would like to discuss your options for dental bleaching in Bellflower more thoroughly, schedule an appointment with our cosmetic dentist for an examination.

We Love Making You Smile
// Bellflower, CA Cosmetic Dentistry

We Love Making You Smile

Our dentists in Bellflower and staff enjoy giving you the best service possible

When you get your dental procedures done at Bellflower Dental Group, there is no doubt you are getting the best service in Bellflower and the surrounding areas. We absolutely love what we do, and we want you to love what we do for you just as much! We look forward to serving you, so please don’t hesitate to give us a call for your next appointment! We are available to answer your questions 24/7. Call us now.

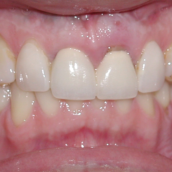
Before & After

Check out some of our amazing whitening results at Bellflower Dental

Whitening
Whitening

Whitening

Whitening
Whitening

Whitening

// Whitening FAQ, Bellflower, CA

Frequently Asked Questions

// preview our dental office in Bellflower, California

Virtual office tour

  • Slide
  • Slide
  • Slide
  • Slide
  • Slide
  • Slide
  • Slide
  • Slide

OFFICE HOURS

  • Monday - Friday 9am - 6pm
  • Saturday 9am - 3pm
  • Closed Sundays

Click to schedule or call now

LOCATION

10318 East Rosecrans Ave

Bellflower, CA 90706

// Bellflower, Ca Patient Stories

Here's what our patients are saying

Check out some patient reviews for our Bellflower, Ca dental office
  • Great customer service and attentive staff!
    Rating

    Great customer service and attentive staff!

    Amanda K.
    Great customer service and attentive staff! My 3 year old enjoyed his visit! Yes, I said he enjoyed it! He had to have X-rays done, and I was so worried that he wasn't gonna be a happy camper but the X-ray tech, Dominique, is so good with kids! The X-rays were fast and painless! Overall a great experience!
  • This dental group surpasses my expectations!
    Rating

    This dental group surpasses my expectations!

    Brian B.
    This dental group surpasses my expectations! Amazing staff! My experience at Bellflower Dental Group was outstanding. Get bored during waiting? Don't worry! You can kill time by watching a movie in their comfy, amazing movie theater, or even get a massage! They even give out free cookies! I always have fun just by waiting for my name to be called. I highly recommend this dental group. I come to them for my braces, their ortho is incredible, the highlight of this dental group. The staff is amazing, their employees are so kind and take the time to perfect your braces.
  • I love this dental office!
    Rating

    I love this dental office!

    Rosa V.
    I love this dental office! I have been coming here for years. It is a one-stop-shop! You can get your x-rays, cleaning, braces, labs, dentures, toothbrushes, and more all right here. They offer a movie room, 15 minute massages, child care, coffee, tea, and snacks! The weekends included face painting and balloon art for the kids. The staff is great, and they try to work with you if you need a payment plan. I think most insurance carriers are accepted. Never had any issues with any of the work done here!
    Dental Accreditations in Bellflower

    Our Professional Affiliations

    We are proud members of these dental organizations and accreditations in Bellflower, Ca
    bellflower dental group on social media

    Follow Us

    Stay updated about our practice, get tips and dental deals through our social media accounts
    Tap To Call