Crowns & Bridges

Protect Your Tooth With a Crown

Dental crowns in Bellflower are one of the best ways to protect your teeth from further decay

Dental crowns are used to protect weakening teeth from tooth decay or breaking. A crown holds together a tooth that has been previously broken or damaged. A tooth crown can also be used to cover a tooth that has an unusual shape or color. A lot of the time dental crowns are used to aid other dental procedures, such as bridges or implants. However, one of the most common uses for a tooth crown in Bellflower is to help cover a filling when the filled tooth doesn’t have very much support, or tooth, left. We have our own on-site lab which means a very quick turnaround for crowns and very little wait for you. If you think you may be in a position that requires dental crowns in Bellflower, please don’t hesitate to give us a call with any questions. You can also schedule your appointment by calling us today.

Dental Crowns and Your Treatment Options

Dental crowns in Bellflower at Bellflower Dental Group come with two different options for your procedure

At Bellflower Dental Group, we offer two options for the tooth crown process, which you should be aware of. First is the traditional, or lab-created option for a tooth crown. With lab-created dental crowns in Bellflower, your crown procedure is done over a span of multiple visits, in order to have the custom fit crown created and fitted properly to your tooth. Your first visit will involve examination and x-rays of your tooth to make sure other procedures are not needed, such as a root canal. Once examined, the tooth will then be prepared for the crown, and an impression of your tooth will be taken and sent to the lab for a custom fit. While waiting to receive the permanent crown, a temporary crown will be placed. On your second visit, your tooth crown will be placed and examined for proper fit and color. The other is an option for CEREC dental crowns, which are same-day permanent crowns that are created during your treatment by the CEREC milling machine. The tooth crown is made to fit your tooth perfectly by computer-aided design that takes digital impressions of your teeth. The CEREC machine mills out your dental crowns within just a few minutes, requiring no need for added appointments. If you would like to schedule an appointment for dental crowns in Bellflower, call us 24/7. We are always available to take your call!

We Love Serving You
Committed To You, Bellflower

We Love Serving You

Our dentists in Bellflower and staff enjoy giving you the best service possible

When you get your dental procedures done at Bellflower Dental Group, there is no doubt you are getting the best service in Bellflower and the surrounding areas. We absolutely love what we do, and we want you to love what we do for you just as much! We look forward to serving you, so please don’t hesitate to give us a call for your next appointment! We are available to answer your questions 24/7. Call us now.

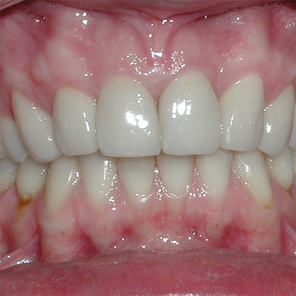
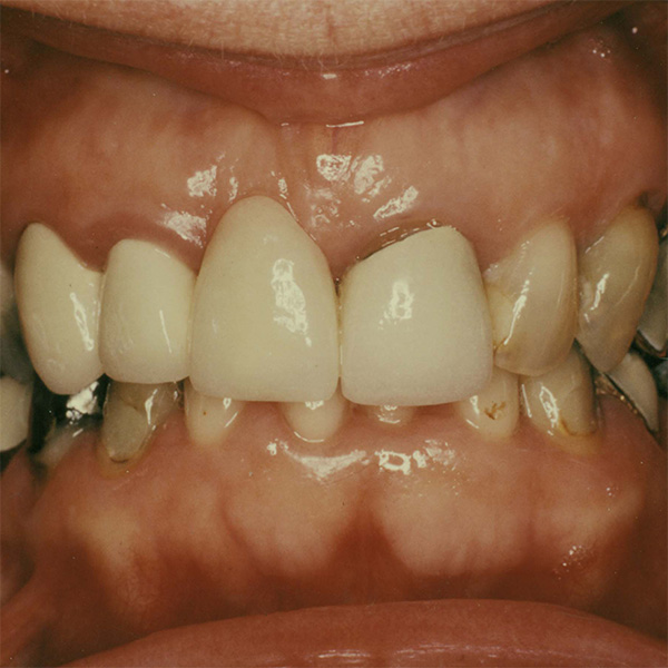
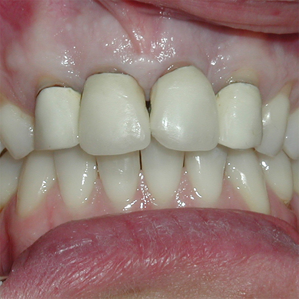
Before & After

Check out some of our patient results at Bellflower Dental

Crowns
Crowns

Crowns

Crowns
Crowns

Crowns

// Answers About Crowns & Bridges

Frequently Asked Questions

Your Crown Can Be Affordable

Why choose Bellflower Dental Group for your crowns and bridges?

We offer affordable dental solutions at Bellflower Dental Group in Bellflower, CA so that you can get the treatment you need without breaking your budget or sacrificing your comfort. Our office has been serving local patients with comprehensive dentistry for years, making us one of the most trusted names in cosmetic dentistry and general care services, like teeth whitening, root canal therapy, oral surgery procedures, and more!

// preview our dental office in Bellflower, California

Virtual office tour

  • Slide
  • Slide
  • Slide
  • Slide
  • Slide
  • Slide
  • Slide
  • Slide

OFFICE HOURS

  • Monday - Friday 9am - 6pm
  • Saturday 9am - 3pm
  • Closed Sundays

Click to schedule or call now

LOCATION

10318 East Rosecrans Ave

Bellflower, CA 90706

// Bellflower, Ca Patient Stories

Here's what our patients are saying

Check out some patient reviews for our Bellflower, Ca dental office
  • Great customer service and attentive staff!
    Rating

    Great customer service and attentive staff!

    Amanda K.
    Great customer service and attentive staff! My 3 year old enjoyed his visit! Yes, I said he enjoyed it! He had to have X-rays done, and I was so worried that he wasn't gonna be a happy camper but the X-ray tech, Dominique, is so good with kids! The X-rays were fast and painless! Overall a great experience!
  • This dental group surpasses my expectations!
    Rating

    This dental group surpasses my expectations!

    Brian B.
    This dental group surpasses my expectations! Amazing staff! My experience at Bellflower Dental Group was outstanding. Get bored during waiting? Don't worry! You can kill time by watching a movie in their comfy, amazing movie theater, or even get a massage! They even give out free cookies! I always have fun just by waiting for my name to be called. I highly recommend this dental group. I come to them for my braces, their ortho is incredible, the highlight of this dental group. The staff is amazing, their employees are so kind and take the time to perfect your braces.
  • I love this dental office!
    Rating

    I love this dental office!

    Rosa V.
    I love this dental office! I have been coming here for years. It is a one-stop-shop! You can get your x-rays, cleaning, braces, labs, dentures, toothbrushes, and more all right here. They offer a movie room, 15 minute massages, child care, coffee, tea, and snacks! The weekends included face painting and balloon art for the kids. The staff is great, and they try to work with you if you need a payment plan. I think most insurance carriers are accepted. Never had any issues with any of the work done here!
    Dental Accreditations in Bellflower

    Our Professional Affiliations

    We are proud members of these dental organizations and accreditations in Bellflower, Ca
    bellflower dental group on social media

    Follow Us

    Stay updated about our practice, get tips and dental deals through our social media accounts
    Tap To Call